Cirurgia Cardíaca

A cirurgia cardíaca é a abordagem cirúrgica das anormalidades cardíacas e dos grandes vasos do tórax. De uma forma geral, a intervenção cirúrgica do coração é realizada para restaurar diretamente a função de bomba, corrigir problemas estruturais intrínsecos e restabelecer o fornecimento adequado de sangue através da circulação coronária. As intervenções comuns tratam doenças isquémicas e valvulares cardíacas, bem como perturbações dos grandes vasos.

Last updated: Dec 15, 2025

Editorial responsibility: Stanley Oiseth, Lindsay Jones, Evelin Maza

Anatomia do Coração

O cirurgião necessita de estar familiarizado com a anatomia do coração e das estruturas circundantes, bem como dos territórios vasculares, para evitar danos aos vasos e nervos e para obter uma reperfusão bem-sucedida dos tecidos.

Anatomia geral do coração

  • Localização: mediastino médio
  • Circundado pelo pericárdio
  • Relações:
    • Anterior: esterno e cartilagem costal
    • Posterior: coluna vertebral (T5-T8), esófago, brônquios primários, grandes vasos
    • Lateral: pulmões e pleura Pleura The pleura is a serous membrane that lines the walls of the thoracic cavity and the surface of the lungs. This structure of mesodermal origin covers both lungs, the mediastinum, the thoracic surface of the diaphragm, and the inner part of the thoracic cage. The pleura is divided into a visceral pleura and parietal pleura. Pleura: Anatomy
    • Superior: bifurcação do tronco pulmonar principal
    • Inferior: diafragma
  • Em forma de cone, com ⅔ da sua massa à esquerda da linha média
O coração na cavidade pericárdica

O coração na cavidade pericárdica

Imagem pela Lecturio.

Câmaras

  • 4 câmaras: 2 aurículas superiores e 2 ventrículos inferiores
  • O septo interauricular separa as aurículas e o septo interventricular separa os ventrículos (visível como os sulcos longitudinal anterior e posterior).
  • Aurícula direita: veia cava → aurícula direita → ventrículo direito
    • O sangue desoxigenado retorna à aurícula direita a partir de:
      • Veia cava superior
      • Veia cava inferior
      • Seio coronário
    • Apêndice auricular direito: uma bolsa muscular que aumenta a capacidade auricular
  • Aurícula esquerda: veias pulmonares → aurícula esquerda → ventrículo esquerdo
    • Recebe sangue oxigenado das veias pulmonares
    • Apêndice auricular esquerdo: uma bolsa muscular que aumenta a capacidade auricular, sendo um local comum para deposição de trombos
  • Ventrículo direito: recebe sangue desoxigenado da aurícula direita através da válvula tricúspide, e posteriormente transporta-o, através da válvula pulmonar, para a artéria pulmonar até a circulação pulmonar para oxigenação
  • Ventrículo esquerdo: recebe sangue oxigenado da aurícula esquerda através da válvula mitral e, de seguida, bombeia-o através da válvula aórtica para a aorta Aorta The main trunk of the systemic arteries. Mediastinum and Great Vessels: Anatomy e para a circulação sistémica

Válvulas

Impedem o fluxo sanguíneo retrógrado e o seu encerramento produz os sons cardíacos que podem ser ouvidos na auscultação:

  • Válvula mitral:
    • 2 cúspides (bicúspide)
    • Entre a aurícula esquerda e o ventrículo esquerdo
  • Válvula tricúspide:
    • 3 cúspides (tricúspide)
    • Entre a aurícula direita e o ventrículo direito
  • Válvula pulmonar:
    • Semilunar
    • Entre o ventrículo direito e o tronco pulmonar
  • Válvula aórtica:
  • Estrutura subvalvular encontrada sob as válvulas auriculoventriculares (AV), constituída por cordas tendinosas e por músculos papilares, que atuam na prevenção do prolapso das cúspides para as aurículas
Visão das válvulas do coração de uma perspetiva auricular

Visão das válvulas do coração a partir de uma perspetiva auricular:
Aurícula removida

Imagem da BioDigital, editada pela Lecturio

Circulação coronária

A análise das artérias coronárias inicia-se com uma revisão da sua origem através de um corte axial Axial Computed Tomography (CT).

  • Origem (localização imediatamente distal à válvula aórtica):
    • Artéria coronária direita (RCA, pela sigla em inglês): seio de Valsalva direito (o seio anterior)
    • Artéria coronária esquerda (LCA, pela sigla em inglês): seio de Valsalva esquerdo (o seio posterior)
  • Artérias:
    • RCA:
      • Fornece sangue para a aurícula direita, para uma parte de ambos os ventrículos e para o sistema de condução cardíaca
      • Dá origem à artéria descendente posterior ( PDA PDA The ductus arteriosus (DA) allows blood to bypass pulmonary circulation. After birth, the DA remains open for up to 72 hours and then constricts and involutes, becoming the ligamentum arteriosum. Failure of this process to occur results in patent ductus arteriosus (PDA), a condition that causes up to 10% of congenital heart defects. Patent Ductus Arteriosus (PDA), pela sigla em inglês; mais MAIS Androgen Insensitivity Syndrome comum, 70% dos casos)
    • LCA:
      • Fornece sangue para a aurícula esquerda, para o ventrículo esquerdo e para o septo interventricular
      • Dá origem à artéria descendente anterior esquerda e à artéria circunflexa
  • Padrões de circulação:
    • Dominante direito:
      • PDA PDA The ductus arteriosus (DA) allows blood to bypass pulmonary circulation. After birth, the DA remains open for up to 72 hours and then constricts and involutes, becoming the ligamentum arteriosum. Failure of this process to occur results in patent ductus arteriosus (PDA), a condition that causes up to 10% of congenital heart defects. Patent Ductus Arteriosus (PDA) com origem da RCA
      • Maioria (70%–80%) da população
    • Dominante esquerdo:
      • PDA PDA The ductus arteriosus (DA) allows blood to bypass pulmonary circulation. After birth, the DA remains open for up to 72 hours and then constricts and involutes, becoming the ligamentum arteriosum. Failure of this process to occur results in patent ductus arteriosus (PDA), a condition that causes up to 10% of congenital heart defects. Patent Ductus Arteriosus (PDA) com origem da LCA
      • Minoria (10%) da população
    • Codominante (também conhecido como equilibrado):
      • PDA PDA The ductus arteriosus (DA) allows blood to bypass pulmonary circulation. After birth, the DA remains open for up to 72 hours and then constricts and involutes, becoming the ligamentum arteriosum. Failure of this process to occur results in patent ductus arteriosus (PDA), a condition that causes up to 10% of congenital heart defects. Patent Ductus Arteriosus (PDA) constituída a partir da LCA e da RCA.
      • Minoria (20%) da população

Pericárdio

Camadas de tecido conjuntivo laxo que envolvem o coração, formando um espaço virtual.

  • Pericárdio fibroso:
    • Camada externa rígida composta por tecido conjuntivo
    • Contínuo com a camada adventícia dos grandes vasos adjacentes
  • Pericárdio seroso:
    • Membrana serosa interna
    • 2 camadas:
      • Parietal Parietal One of a pair of irregularly shaped quadrilateral bones situated between the frontal bone and occipital bone, which together form the sides of the cranium. Skull: Anatomy: revestimento interno da camada externa, contínuo e inseparável do pericárdio fibroso
      • Visceral (também conhecido como epicárdio): camada interna que reveste a superfície do miocárdio
  • Cavidade pericárdica:
    • Espaço virtual entre a camada parietal Parietal One of a pair of irregularly shaped quadrilateral bones situated between the frontal bone and occipital bone, which together form the sides of the cranium. Skull: Anatomy e visceral do pericárdio
    • Contém fluido seroso que lubrifica os movimentos do coração no pericárdio e permite algum grau de amortecimento para o coração

Pericardiocentese

Definição

A pericardiocentese é um procedimento invasivo que consiste na inserção de uma agulha no espaço pericárdico para extrair líquido, com intuito diagnóstico ou terapêutico.

Indicações

Pericardiocentese diagnóstica (obtenção de líquido pericárdico para diagnóstico):

  • Suspeita de derrame bacteriano, micobacteriano ou fúngico
  • Suspeita de derrame maligno

Pericardiocentese terapêutica:

  • Tamponamento cardíaco: restrição do enchimento cardíaco devido à acumulação excessiva de líquido na cavidade pericárdica; culmina com a diminuição do débito cardíaco e potencialmente instabilidade hemodinâmica (hipotensão e choque)
  • Derrames pericárdicos de grande volume sem etiologia conhecida

Contraindicações

  • Dissecção aórtica
  • Coagulopatia (PTT > 2x normal) ou trombocitopenia (contagem de plaquetas < 50.000)
  • Derrame pericárdico de pequenas dimensões ou loculado
  • Hemopericárdio traumático (rutura de parede ventricular livre)
  • Pericardite infeciosa não viral

Procedimento

Com exceção dos doentes em paragem cardiorrespiratória ou em risco iminente de vida, uma pericardiocentese deve ser realizada sob orientação ecográfica.

  1. Realização de ecocardiograma (em situações de emergência esta etapa é ignorada).
  2. Localização da junção xifocondral esquerda e marcação com uma caneta.
  3. Lavagem da pele e aplicação do campo cirúrgico, com janela para a junção xifocondral esquerda.
  4. Infiltração de 1 mL de lidocaína no local da punção, com criação de uma pápula, e nos tecidos mais MAIS Androgen Insensitivity Syndrome profundos.
  5. Perfuração da pele com um bisturi, 1–2 cm inferior à junção xifocondral esquerda.
  6. Introdução e progressão da agulha num ângulo de 45 graus através da pequena incisão em direção à zona média da omoplata esquerda, com manutenção simultânea da pressão negativa (puxando o êmbolo) na seringa.
  7. Progressão da agulha até atingir o espaço pericárdico, confirmado por:
    1. Aspiração de líquido pericárdico ou sangue
    2. Perceção de entrada na cavidade
    3. Perceção de pulsações cardíacas
    4. Elevação do segmento ST no ECG ECG An electrocardiogram (ECG) is a graphic representation of the electrical activity of the heart plotted against time. Adhesive electrodes are affixed to the skin surface allowing measurement of cardiac impulses from many angles. The ECG provides 3-dimensional information about the conduction system of the heart, the myocardium, and other cardiac structures. Electrocardiogram (ECG) (remoção da agulha até normalização)
  8. Aspiração do conteúdo pericárdico.
  9. Envio do conteúdo pericárdico extraído para laboratório para:
    1. Coloração de Gram
    2. Cultura (bacteriana, fúngica e micobacteriana)
    3. Contagem de células
    4. Citologia
    5. Proteínas
    6. Glicose
    7. Exame bioquímico (ou seja, pH pH The quantitative measurement of the acidity or basicity of a solution. Acid-Base Balance, LDH LDH Osteosarcoma)
  10. Remoção da agulha assim que não seja possível aspirar mais MAIS Androgen Insensitivity Syndrome líquido.
Pericardiocentese por agulha

Pericardiocentese por agulha:
Para atingir com sucesso a cavidade pericárdica, a agulha deve ser posicionada num ângulo de 45 graus em direção à zona média da omoplata esquerda, com manutenção simultânea da pressão negativa na seringa.

Imagem pela Lecturio.

Complicações

  • Ausência de melhoria clínica: esta deve ser imediata após a extração do líquido pericárdico.
  • Perfuração da parede miocárdica (ventrículo direito)
  • Punção de artéria coronária
  • Punção da artéria mamária interna esquerda
  • Hemotórax: acumulação de sangue no espaço pleural por hemorragia profusa, geralmente em contexto de trauma torácico
  • Pneumotórax: acumulação de ar AR Aortic regurgitation (AR) is a cardiac condition characterized by the backflow of blood from the aorta to the left ventricle during diastole. Aortic regurgitation is associated with an abnormal aortic valve and/or aortic root stemming from multiple causes, commonly rheumatic heart disease as well as congenital and degenerative valvular disorders. Aortic Regurgitation no espaço pleural (entre a pleura Pleura The pleura is a serous membrane that lines the walls of the thoracic cavity and the surface of the lungs. This structure of mesodermal origin covers both lungs, the mediastinum, the thoracic surface of the diaphragm, and the inner part of the thoracic cage. The pleura is divided into a visceral pleura and parietal pleura. Pleura: Anatomy parietal Parietal One of a pair of irregularly shaped quadrilateral bones situated between the frontal bone and occipital bone, which together form the sides of the cranium. Skull: Anatomy e visceral), podendo ser aberto (comunicação com a atmosfera) ou sob tensão (sem abertura na parede torácica)
  • Enfarte Agudo do Miocárdio (EAM)
  • Pneumopericárdio
  • Lesão hepática
  • Perfuração intestinal
  • Fístula pleuropericárdica

Janela Pericárdica

Definição

A janela pericárdica é um procedimento cirúrgico realizado no pericárdio parietal Parietal One of a pair of irregularly shaped quadrilateral bones situated between the frontal bone and occipital bone, which together form the sides of the cranium. Skull: Anatomy para permitir o acesso ao espaço pericárdico para evacuação de líquido ocupante de espaço e desbridamento de loculações. O principal objetivo deste procedimento é restaurar o enchimento ventricular eficaz e o débito cardíaco adequado.

Indicações

  • Tamponamento cardíaco
  • Derrame pericárdico sintomático que persiste apesar de 7 a 10 dias de tratamento médico intensivo

Contraindicações

Não há contraindicações absolutas. As contraindicações relativas incluem coagulopatia, trombocitopenia e a falta de experiência do médico.

Procedimento

Abordagem subxifoide (preferível devido à sua maior simplicidade):

  1. Realização de uma incisão vertical na linha média sobre a apófise xifoide e abdómen superior, com 4 cm de extensão
  2. Separação da linha alba e retração superior da apófise xifoide.
  3. Dissecação do diafragma do esterno e apófise xifoide para permitir o acesso à cavidade torácica.
  4. Abertura do pericárdio quando o cirurgião tem visualização direta.
  5. Aspiração do líquido e desbridamento cuidadoso das loculações.
  6. Envio do tecido e líquido pericárdico para estudo bacteriológico e histológico.
  7. Colocação de dreno para evacuação contínua.

Abordagem anterolateral:

  • Toracotomia
  • Preparação de uma janela pericárdica anteriormente ao nervo frénico.
  • Encerramento frouxo da pele com suturas não absorvíveis e remoção de qualquer resíduo (por exemplo, sangue, tecido adiposo)
  • Aplicação de gaze estéril e penso sobre a(s) ferida(s) cirúrgica(s).
Procedimento da janela pericárdica

Exemplo de uma janela pericárdica

Imagem: “The place of pericardial window” por Toth et al. Licença: CC BY 2.0

Complicações

  • Hemorragia
  • Infeção do local cirúrgico ( SSI SSI Surgical site infection (SSI) is a type of surgical infection that occurs at or near a surgical incision within 30 days of the procedure or within 90 days if prosthetic material is implanted. Surgical site infections are classified according to the depth of involvement as superficial, deep, or organ/space. Surgical Site Infections, pela sigla em inglês)
  • Arritmia
  • Enfarte Agudo do Miocárdio (EAM)
  • Colapso hemodinâmico

Cirurgia de Bypass Coronário (CABG)

Definição

A cirurgia de bypass coronário ( CABG CABG Surgical therapy of ischemic coronary artery disease achieved by grafting a section of saphenous vein, internal mammary artery, or other substitute between the aorta and the obstructed coronary artery distal to the obstructive lesion. Cardiac Surgery, pela sigla em inglês) é um procedimento invasivo de revascularização que consiste na colocação de um enxerto entre a circulação arterial e a coronária para desviar o fluxo sanguíneo de segmentos obstruídos das artérias coronárias e fornecer sangue oxigenado ao miocárdio.

Indicações

  • Doentes com angina com impacto na qualidade de vida, apesar de terapia médica máxima otimizada
  • Doença significativa da artéria coronária esquerda dominante (estenose > 70%)
  • Doença arterial coronária (DAC) multivaso, com redução da fração de ejeção do ventrículo esquerdo (FEVE)
  • Doença de 3 vasos

Contraindicações

  • Incompatibilidade das artérias coronárias com o enxerto
  • Ausência de miocárdio viável para enxertar

Procedimento

  1. Realização de uma esternotomia mediana.
  2. Remoção da veia safena simultaneamente de uma ou ambas as pernas através de uma abordagem aberta ou assistida por vídeo. A veia é utilizada para fazer os enxertos ou condutos.
  3. Paragem cardíaca induzida por solução cardioplégica rica em potássio.
  4. Anastomose dos condutos às artérias coronárias.
  5. Ligação posterior dos condutos a novas aberturas criadas na aorta Aorta The main trunk of the systemic arteries. Mediastinum and Great Vessels: Anatomy proximal e/ou outros vasos principais.
  6. Após lavagem da solução cardioplégica, verificação da patência do conduto e de hemorragia dos locais de anastomose.
  7. Encerramento torácico com suturas esternais se a intervenção for considerada satisfatória.

Complicações

  • Insuficiência do enxerto: Enxerto incapaz de fornecer adequadamente sangue oxigenado para o miocárdio.
  • Acidente Vascular Cerebral (AVC): Uma complicação grave da CABG CABG Surgical therapy of ischemic coronary artery disease achieved by grafting a section of saphenous vein, internal mammary artery, or other substitute between the aorta and the obstructed coronary artery distal to the obstructive lesion. Cardiac Surgery na qual ocorre lesão cerebral por interrupção do fluxo sanguíneo (AVC isquémico) ou hemorragia ativa (AVC hemorrágico), com clínica neurológica característica.
  • Infeção do local cirúrgico ( SSI SSI Surgical site infection (SSI) is a type of surgical infection that occurs at or near a surgical incision within 30 days of the procedure or within 90 days if prosthetic material is implanted. Surgical site infections are classified according to the depth of involvement as superficial, deep, or organ/space. Surgical Site Infections, pela sigla em inglês): Um tipo de infeção cirúrgica que ocorre na incisão cirúrgica ou na sua proximidade, até 30 dias após a cirurgia ou até 90 dias se material protético foi implantado. Uma SSI SSI Surgical site infection (SSI) is a type of surgical infection that occurs at or near a surgical incision within 30 days of the procedure or within 90 days if prosthetic material is implanted. Surgical site infections are classified according to the depth of involvement as superficial, deep, or organ/space. Surgical Site Infections é classificada consoante a profundidade do atingimento da infeção em superficial, profunda ou de órgão / espaço.
  • Fibrilhação auricular: Taquiarritmia supraventricular, sendo o tipo mais MAIS Androgen Insensitivity Syndrome comum de arritmia. A fibrilhação auricular é causada por contrações auriculares rápidas e descontroladas e respetivas respostas ventriculares descoordenadas.

Cateterismo Cardíaco

Definição

O cateterismo cardíaco é um procedimento invasivo que consiste na inserção de um cateter na circulação arterial sistémica, com progressão até ao coração para injeção de contraste. Este procedimento permite uma avaliação vascular imagiológica para diagnóstico e eventual intervenção terapêutica.

Indicações

Este procedimento pode ser diagnóstico ou terapêutico.

  • Doença arterial coronária: Referida como doença cardíaca isquémica, esta patologia é causada por um fornecimento inadequado de sangue ao miocárdio devido a estenose das artérias coronárias, tipicamente por aterosclerose.
  • Insuficiência cardíaca: Incapacidade do coração para desenvolver um débito cardíaco adequado para suprir as necessidades metabólicas.
  • Avaliação hemodinâmica dos lados direito e esquerdo do coração
  • Arritmias
  • Doença cardíaca valvular
  • Avaliação de doenças pericárdicas e miocárdicas
  • Avaliação de cardiopatias congénitas

Contraindicações

Não há contra-indicações absolutas para o cateterismo cardíaco. No entanto, se a probabilidade de complicações for relativamente elevada, o cirurgião pode considerar outros métodos. Doentes com insuficiência renal devem ser abordados com cautela, dado que o contraste pode ser nefrotóxico.

Procedimento

No Bloco Operatório:

  1. Posicionamento do doente em decúbito dorsal.
  2. Posicionamento do fluoroscópio sobre o doente.
  3. Obtenção de acesso EV.
  4. Colocação de um cateter de Foley para quantificação do débito urinário.
  5. Monitorização contínua:
    • FC Fc Crystallizable fragments composed of the carboxy-terminal halves of both immunoglobulin heavy chains linked to each other by disulfide bonds. Fc fragments contain the carboxy-terminal parts of the heavy chain constant regions that are responsible for the effector functions of an immunoglobulin (complement fixation, binding to the cell membrane via fc receptors, and placental transport). This fragment can be obtained by digestion of immunoglobulins with the proteolytic enzyme papain. Immunoglobulins: Types and Functions
    • Tensão arterial
    • Saturação de O2 (oximetria de pulso)
    • Monitor de ritmo com ECG ECG An electrocardiogram (ECG) is a graphic representation of the electrical activity of the heart plotted against time. Adhesive electrodes are affixed to the skin surface allowing measurement of cardiac impulses from many angles. The ECG provides 3-dimensional information about the conduction system of the heart, the myocardium, and other cardiac structures. Electrocardiogram (ECG)
  6. Utilização de sedação moderada e analgesia Analgesia Methods of pain relief that may be used with or in place of analgesics. Anesthesiology: History and Basic Concepts leve, bem como anestesia local.

Cuidados cirúrgicos:

O cateterismo cardíaco pode ser realizado por via arterial ou venosa. A inserção percutânea do cateter é realizada através de uma versão modificada da técnica de Seldinger.

  1. Identificação do vaso selecionado (por exemplo, artéria femoral).
  2. Punção do vaso com agulha, sob orientação ecográfica.
  3. Introdução de um fio-guia através da agulha.
  4. Remoção da agulha e inserção de um dilatador sobre o fio-guia.
  5. Progressão do fio-guia até ao coração através da circulação sistémica.
  6. Inserção do cateter sobre o fio-guia em direção ao coração.
  7. Realização das avaliações necessárias pelo cirurgião, de acordo com as indicações do procedimento, assim que o cateter atinge o coração.
  8. Extração do cateter e do dilatador com aplicação simultânea de pressão no local da punção para evitar hemorragia.

Complicações

  • Hematoma Hematoma A collection of blood outside the blood vessels. Hematoma can be localized in an organ, space, or tissue. Intussusception
  • Hemorragia retroperitoneal Retroperitoneal Peritoneum: Anatomy
  • Pseudoaneurisma
  • Fístula AV (arteriovenosa)
  • Embolia (por exemplo, trombo, placa aterosclerótica, ou ar AR Aortic regurgitation (AR) is a cardiac condition characterized by the backflow of blood from the aorta to the left ventricle during diastole. Aortic regurgitation is associated with an abnormal aortic valve and/or aortic root stemming from multiple causes, commonly rheumatic heart disease as well as congenital and degenerative valvular disorders. Aortic Regurgitation)
  • Fibrilhação ventricular: um tipo de taquiarritmia ventricular caracterizada por contração ventricular descoordenada, que culmina com uma diminuição do débito cardíaco e colapso hemodinâmico imediato
  • EAM: uma lesão do miocárdio por isquemia, caracterizada por um aumento das enzimas cardíacas (sobretudo da troponina T), alterações no ECG ECG An electrocardiogram (ECG) is a graphic representation of the electrical activity of the heart plotted against time. Adhesive electrodes are affixed to the skin surface allowing measurement of cardiac impulses from many angles. The ECG provides 3-dimensional information about the conduction system of the heart, the myocardium, and other cardiac structures. Electrocardiogram (ECG) sugestivas de isquemia em 2 derivações contínuas e toracalgia
  • AVC
  • Dissecção da aorta: separação da túnica íntima da parede aórtica com fluxo sanguíneo para a túnica média, com a criação de um “lúmen falso”, devido às forças de cisalhamento associadas à pressão pulsátil
  • Reação de hipersensibilidade: Há cada vez mais MAIS Androgen Insensitivity Syndrome evidência científica que demonstra que algumas reações de hipersensibilidade aos meios de contraste, particularmente aquelas que são graves, podem ser mediadas por IgE IgE An immunoglobulin associated with mast cells. Overexpression has been associated with allergic hypersensitivity. Immunoglobulins: Types and Functions.
  • Lesão renal aguda ( AKI AKI Acute kidney injury refers to sudden and often reversible loss of renal function, which develops over days or weeks. Azotemia refers to elevated levels of nitrogen-containing substances in the blood that accompany AKI, which include BUN and creatinine. Acute Kidney Injury, pela sigla em inglês): devido ao contraste necessário para a realização do procedimento

Intervenção Coronária Percutânea (PCI)

Definição

Anteriormente conhecida como angioplastia coronária com stent, a intervenção coronária percutânea (PCI, pela sigla em inglês) é um procedimento invasivo não cirúrgico que consiste na introdução de um cateter nas artérias coronárias com dilatação de um balão e colocação de stent para resolução da oclusão de um vaso.

Indicações

  • Doença arterial coronária (CHD, pela sigla em inglês) crítica :
    • O conceito define uma situação em que existe um fornecimento inadequado de sangue para o miocárdio devido a estenose das artérias coronárias
    • Geralmente consequência da aterosclerose
    • PCI está indicado em doentes com CHD sem critérios para CABG CABG Surgical therapy of ischemic coronary artery disease achieved by grafting a section of saphenous vein, internal mammary artery, or other substitute between the aorta and the obstructed coronary artery distal to the obstructive lesion. Cardiac Surgery.
  • EAM com elevação do segmento ST (STEMI, pela sigla em inglês):
    • Sintomas compatíveis com isquemia com duração < 12 horas
    • Contraindicado se em combinação com terapêutica fibrinolítica
  • Síndrome coronária aguda sem elevação do segmento ST
    • Angina refratária
    • Angina recorrente
    • Sintomas de insuficiência cardíaca
    • Regurgitação mitral de novo ou em agravamento
    • Instabilidade hemodinâmica
    • Taquicardia/fibrilhação ventricular sustentada
  • Angina (estável e instável): dor ou desconforto torácico subesternal em pressão, com irradiação para o pescoço, mandíbula e/ou membro superior esquerdo, associada a dispneia, palpitações, ansiedade, náuseas, vómitos, dor abdominal ou epigástrica, e/ou diaforese
    • Angina estável (< 20 minutos)
    • Angina instável (≥ 20 minutos)
  • Caraterísticas de alto risco no teste de stress

Contraindicações

Absolutas:

  • Recusa da intervenção
  • Impossibilidade de toma de terapêutica antiplaquetária dupla.
  • Risco elevado de hemorragia (ou seja, trombocitopenia)
  • Reestenose devido a múltiplas PCI anteriores

Relativas:

  • Intolerância a longo prazo à terapêutica antiplaquetária
  • Estado de hipercoagulabilidade
  • Doença renal crónica ( CKD CKD Chronic kidney disease (CKD) is kidney impairment that lasts for ≥ 3 months, implying that it is irreversible. Hypertension and diabetes are the most common causes; however, there are a multitude of other etiologies. In the early to moderate stages, CKD is usually asymptomatic and is primarily diagnosed by laboratory abnormalities. Chronic Kidney Disease, pela sigla em inglês) grave
  • Diâmetro da artéria < 1,5 mm
  • Estenose crítica da artéria coronária esquerda dominante sem fluxo colateral ou patência de enxerto para bypass

Cuidados pré-operatórios

A preparação para PCI é bastante similar à do cateterismo cardíaco. Contudo, o tempo porta-balão ( D2B time D2B Time Cardiac Surgery, pela sigla em inglês) é um fator importante que necessita de ser considerado.

  • A intervenção coronária percutânea é frequentemente realizada no contexto de emergência.
  • O D2B time D2B Time Cardiac Surgery é o tempo decorrido desde a chegada ao Serviço de Urgência até à insuflação do balão na artéria responsável pelo enfarte (pelo inglês culprit).
  • A redução do D2B time D2B Time Cardiac Surgery é crítica para aumentar a probabilidade de sobrevivência no ambiente hospitalar.

Terapêutica antiplaquetária:

  • Aspirina 162–325 mg no dia do procedimento.
  • Inibidores GPIIb/IIIa (ou seja, abciximab)
  • Terapêutica antiplaquetária dupla (DAPT, pela sigla em inglês): aspirina e um inibidor P2Y12 (por exemplo, clopidogrel Clopidogrel A ticlopidine analog and platelet purinergic p2y receptor antagonist that inhibits adenosine diphosphate-mediated platelet aggregation. It is used to prevent thromboembolism in patients with arterial occlusive diseases; myocardial infarction; stroke; or atrial fibrillation. Antiplatelet Drugs, prasugrel Prasugrel A piperazine derivative and platelet aggregation inhibitor that is used to prevent thrombosis in patients with acute coronary syndrome; unstable angina and myocardial infarction, as well as in those undergoing percutaneous coronary interventions. Antiplatelet Drugs, ticagrelor Ticagrelor An adenosine triphosphate analogue and reversible p2y12 purinoceptor antagonist that inhibits adp-mediated platelet aggregation. It is used for the prevention of thromboembolism by patients with acute coronary syndrome or a history of myocardial infarction. Antiplatelet Drugs)

Como anticoagulação, a heparina não fracionada pode ser utilizada aquando da PCI.

A profilaxia antibiótica não está indicada.

Cuidados cirúrgicos

O acesso às artérias coronárias é realizado por via radial, axilar ou femoral. A artéria radial é preferida devido ao menor risco de hemorragia. A angioplastia com stent é preferida à angioplastia apenas com balão pela diminuição do risco de reestenose.

Angiografia:

  1. Realização de cateterismo cardíaco para alcançar as artérias coronárias.
  2. Introdução do meio de contraste na artéria coronária suspeita e obtenção de imagens por fluoroscopia.
  3. Após identificação imagiológica das estenoses e as oclusões, o operador posiciona o fio-guia distal à estenose na artéria através do cateter.

Angioplastia e colocação de stent:

  1. Utilização do fio-guia para progredir o balão desinsuflado e o cateter com stent até ao segmento estenótico.
  2. Expansão do balão após o local correto ser alcançado, com dilatação do stent posicionado sobre ele e abertura do lúmen do vaso.
  3. Esvaziamento do balão, remoção do cateter e confirmação da colocação adequada do stent e da resolução da estenose.
  4. Remoção do cateter e do dilatador com aplicação simultânea de pressão no local da punção para evitar hemorragia.
Exemplo de um stent coronário, um dispositivo metálico tubular expansível

Exemplo de um stent coronário, um dispositivo metálico tubular expansível

Imagem: “Lekton Magic coronary stent” por Maryam Moravej e Diego Mantovani. Licença: CC BY 3.0

Cuidados pós-operatórios

  • Após a intervenção, o doente é encaminhado para a sala de recuperação pós-anestésica, onde permanece durante 6 horas. Posteriormente pode ser transferido para a enfermaria, se indicado.
  • Doentes submetidos a intervenções eletivas, com baixo risco e sem complicações podem obter alta 6 a 8 horas após a intervenção.

Complicações

  • Rutura ou dissecção da artéria coronária, ou da aorta Aorta The main trunk of the systemic arteries. Mediastinum and Great Vessels: Anatomy
  • Hemorragia do local da punção
  • Infeção do local cirúrgico ( SSI SSI Surgical site infection (SSI) is a type of surgical infection that occurs at or near a surgical incision within 30 days of the procedure or within 90 days if prosthetic material is implanted. Surgical site infections are classified according to the depth of involvement as superficial, deep, or organ/space. Surgical Site Infections, pela sigla em inglês)
  • Sépsis
  • Lesão renal aguda ( AKI AKI Acute kidney injury refers to sudden and often reversible loss of renal function, which develops over days or weeks. Azotemia refers to elevated levels of nitrogen-containing substances in the blood that accompany AKI, which include BUN and creatinine. Acute Kidney Injury, pela sigla em inglês): devido ao contraste utilizado no procedimento
  • AVC: devido a trombos desenvolvidos durante a intervenção
  • EAM: devido a dissecção ou trombo do stent
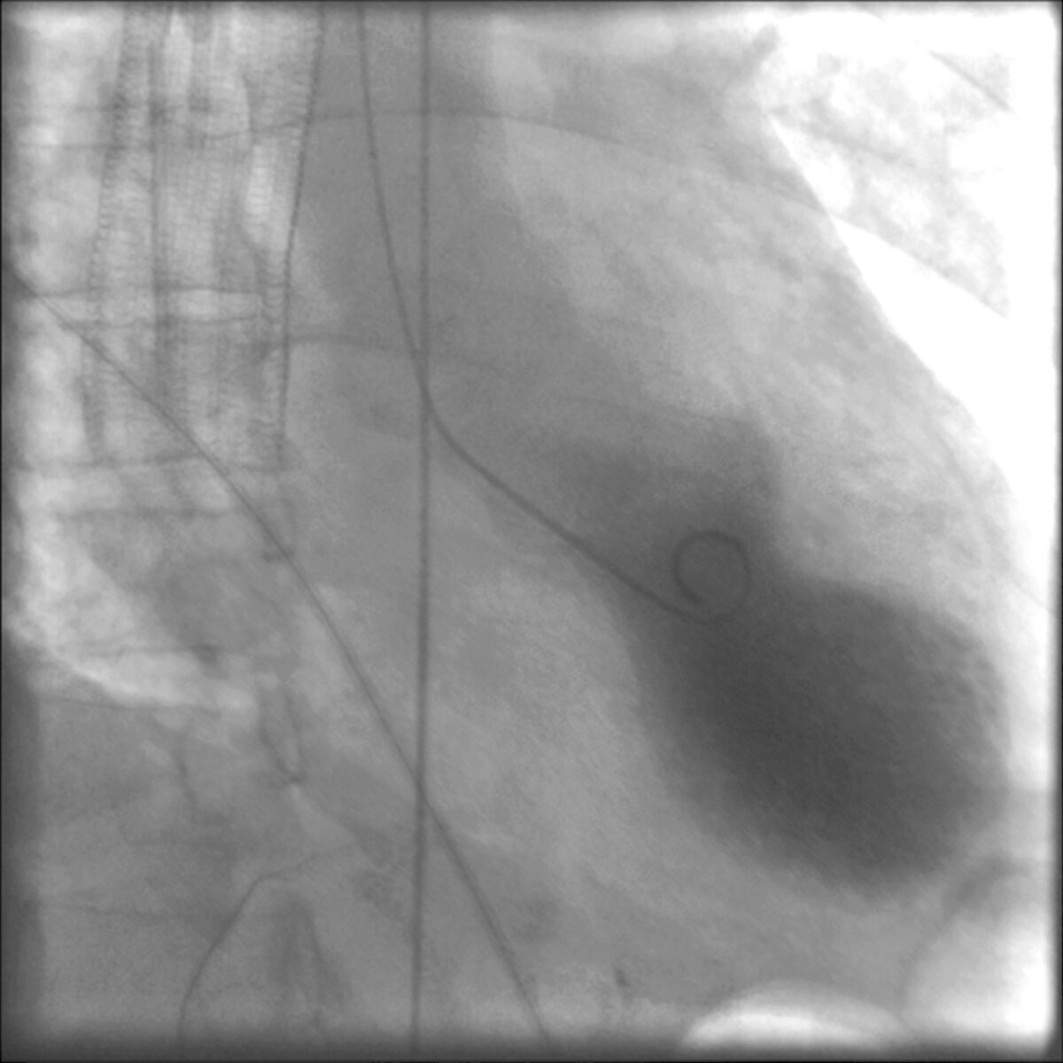
Angiografia coronária com estenose proximal grave da LAD

Angiografia coronária com estenose grave da artéria descendente anterior esquerda (LAD, pela sigla em inglês)

Imagem: “Coronary angiography showing a severe proximal LAD stenosis” por V. Parisi et al. Licença: CC BY 2.0

Referências

  1. Senst, B., Kumar, A., Diaz, R.R. (2021). Cardiac surgery. StatPearls. Retrieved April 8, 2021, from http://www.ncbi.nlm.nih.gov/books/NBK532935/
  2. Doty, D., Doty, J. (2012). Cardiac Surgery: Operative Technique. Elsevier/Saunders.
  3. Kouchoukos, N., Kirklin, J. (2013). Kirklin/Barratt-Boyes Cardiac Surgery: Morphology, Diagnostic Criteria, Natural History, Techniques, Results, and Indications. Elsevier/Saunders.
  4. Manda, Y.R., Baradhi, K.M. (2021). Cardiac catheterization risks and complications. StatPearls. Retrieved April 8, 2021, from http://www.ncbi.nlm.nih.gov/books/NBK531461/
  5. Bachar, B.J., Manna, B. (2021). Coronary artery bypass graft. StatPearls. Retrieved April 8, 2021, from http://www.ncbi.nlm.nih.gov/books/NBK507836/
  6. Zipes, D., Libby, P., Bonow, R., Mann, D., Tomaselli, G., Braunwald, E. (2019). Braunwald’s Heart Disease: A Textbook of Cardiovascular Medicine. Elsevier/Saunders.
  7. Toth, I., Szucs, G., Molnar, T. F. (2012). Mediastinoscope-controlled parasternal fenestration of the pericardium: definitive surgical palliation of malignant pericardial effusion. Journal of Cardiothoracic Surgery 7:56. https://doi.org/10.1186/1749-8090-7-56
  8. De Carlini, C.C., Maggiolini, S. (2017). Pericardiocentesis in cardiac tamponade: indications and practical aspects. E-Journal of Cardiology Practice 15(19). Retrieved April 8, 2021, from https://www.escardio.org/Journals/E-Journal-of-Cardiology-Practice/Volume-15/Pericardiocentesis-in-cardiac-tamponade-indications-and-practical-aspects
  9. Mueller, X. M., Tevaearai, H. T., Hurni, M., Ruchat, P., Fischer, A. P., Stumpe, F., von Segesser, L. K. (1997). Long-term results of surgical subxiphoid pericardial drainage. Thoracic and Cardiovascular Surgeon 45:65–69. https://doi.org/10.1055/s-2007-1013689
  10. Ahmad, M., Mehta, P., Reddivari, A. K. R., Mungee, S. (2021). StatPearls. Percutaneous coronary intervention. http://www.ncbi.nlm.nih.gov/books/NBK556123/

Crie sua conta gratuita ou faça login para continuar lendo!

Cadastre-se agora e tenha acesso grátis ao Lecturio, com páginas de conceitos, vídeos de medicina e questões para sua educação médica.

Aprende mais com a Lecturio:

Multiple devices displaying human anatomy and health education content.

Complementa o teu estudo da faculdade com o companheiro de estudo tudo-em-um da Lecturio, através de métodos de ensino baseados em evidência.

Estuda onde quiseres

Two iPhones display medical education apps, one showing anatomy, the other Bookmatcher.

A Lecturio Medical complementa o teu estudo através de métodos de ensino baseados em evidência, vídeos de palestras, perguntas e muito mais – tudo combinado num só lugar e fácil de usar.

User Reviews

Have a holly, jolly study session 🎁 Save 50% on all plans now >>

Que tengas una sesión de estudio alegre y navideña 🎁 Ahorra 50% en todos los planes >>

Details